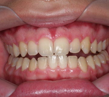
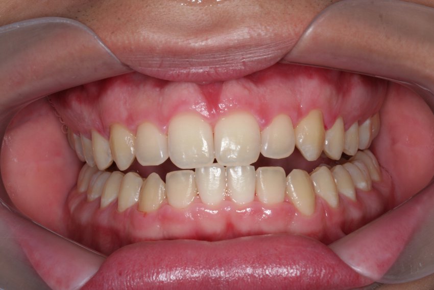
O clareamento dental é uma solução estética dental muito popular atualmente.
Clarear os dentes é um tratamento que não só pode melhorar esteticamente seus dentes, como também traz benefícios para sua saúde e autoestima. Existem diferentes métodos de clareamento dental.
O processo pode ser feito de diferentes maneiras, mas é sempre importante consultar um dentista antes de começar o tratamento.
Dr. Marcelo Coelho visita alunos da Apae em Cuiabá
WhatsApp
facebook
youtube
instagram
linkedin


