Dr. Marcelo Coelho visita alunos da Apae em Cuiabá
Dr. Marcelo Coelho visita o SOBRAPE
A Clínica
A Clínica
BLOG
IN 2019
MÚSICA
REDES SOCIAIS
WhatsApp
facebook
youtube
instagram
linkedin
INICIAL
Institucional
Corpo Clínico
Diferenciais e custos
Manual de orientação
Alvará sanitário
Alvará de funcionamento
Currículo
Especialidades
Implantodontia
Periodontia
Clareamento dental
Enxerto de seio maxilar
Enxerto gengival espessura total
Implante em incisivo central
Implante em maxila atrófica
Implante posterior
Implantes com prótese fixa em extremo livre
Implantes em pacientes com agenesia
Implantes para perda de dentes anteriores inferiores
Lente de contato em porcelana
Cirurgia Plástica Gengival
Reabilitação com implantes
Reconstrução estética
Publicações
BLOG
GALERIA DE FOTOS
Fotos APAE - Cuiabá, MT
Fotos SOBRAPE - MT
Fotos da clínica
ARTIGOS
Contato
Marcelo Coelho de Carvalho - Dentista
Implantes com prótese fixa em extremo livre
Voltar
Você está aqui:
Página Principal
Especialidades
Implantes com prótese fixa em extremo livre
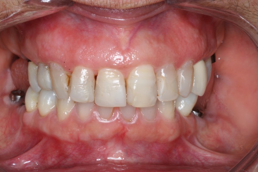
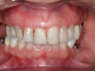
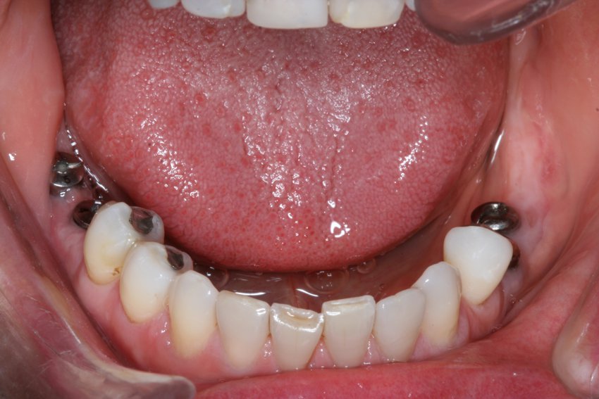
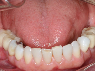
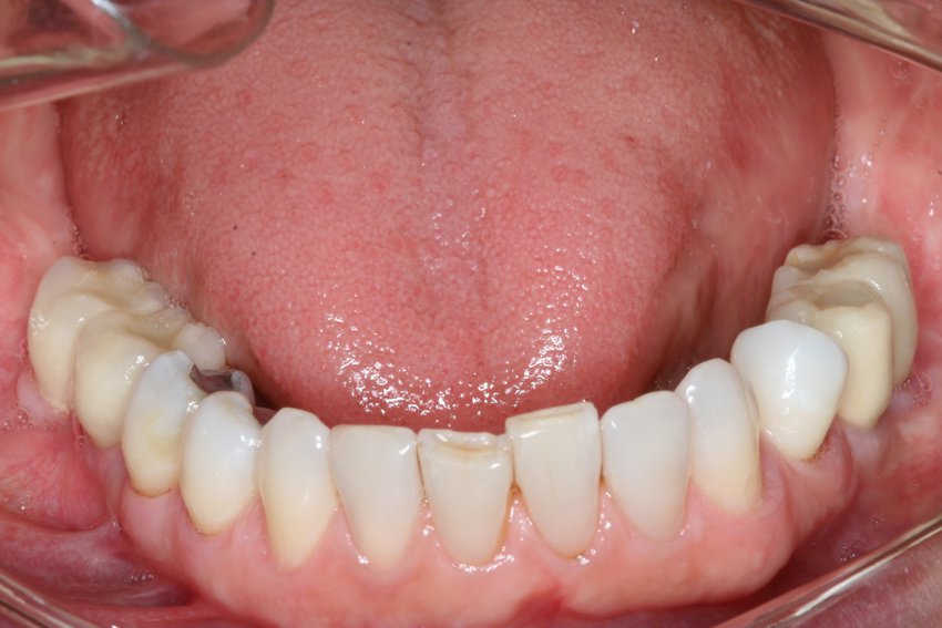
Técnica de implantes com prótese fixa em extremo livre
INICIAL
Institucional
Corpo Clínico
Diferenciais e custos
Manual de orientação
Alvará sanitário
Alvará de funcionamento
Currículo
Especialidades
Implantodontia
Periodontia
Clareamento dental
Enxerto de seio maxilar
Enxerto gengival espessura total
Implante em incisivo central
Implante em maxila atrófica
Implante posterior
Implantes com prótese fixa em extremo livre
Implantes em pacientes com agenesia
Implantes para perda de dentes anteriores inferiores
Lente de contato em porcelana
Cirurgia Plástica Gengival
Reabilitação com implantes
Reconstrução estética
Publicações
BLOG
GALERIA DE FOTOS
ARTIGOS
Contato
REDES SOCIAIS