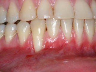
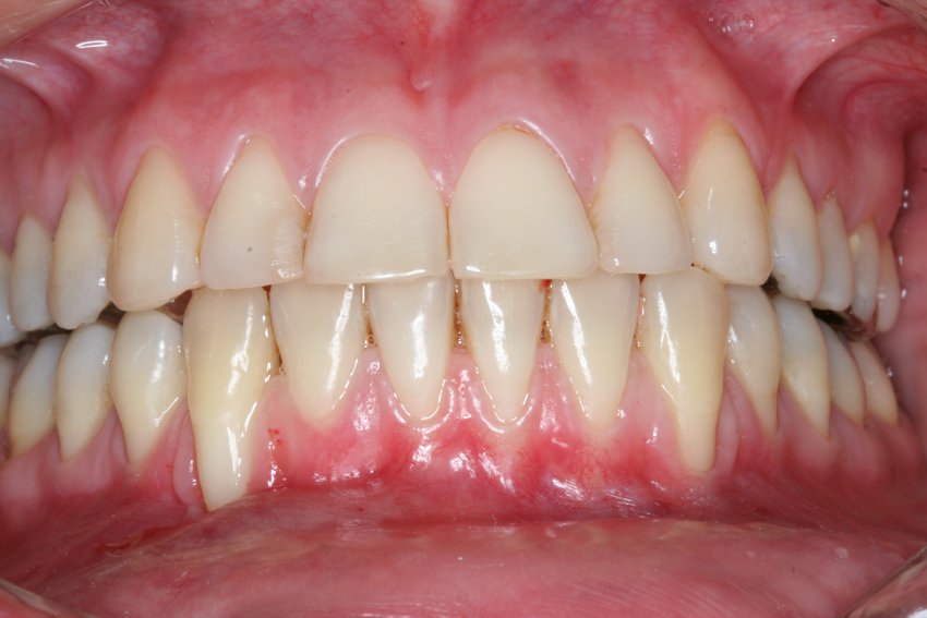
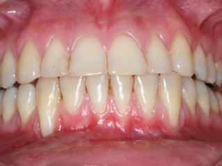
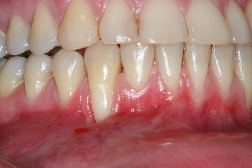
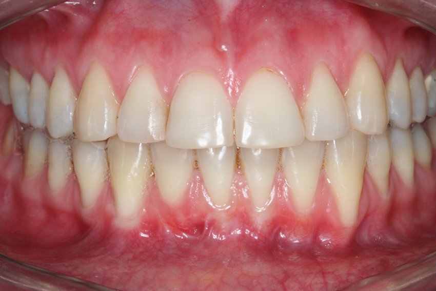
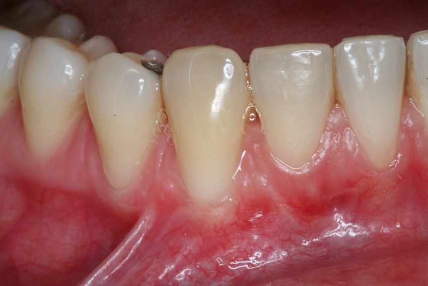
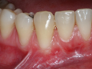
Técnica de enxerto gengival tecido conjuntivo Escrito por Dr. Marcelo Coelho de Carvalho.Postado em Especialidades ImprimirEmail